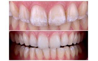
ICON Resin Infiltration is a minimally invasive treatment designed to restore white-spot lesions on the surface of the enamel. These white spots appear chalky white and opaque, and are often the result of poor hygiene and associated plaque, bacteria and acids. The white appearance is due to an optical phenomenon where light is scattered at the subsurface, which is caused by mineral loss in the surface or subsurface of the enamel. The ICON resin penetrates the enamel, reducing the appearance of white spot lesions.
What are the Benefits of Icon Resin Infiltration?
- Resin infilatration is much less invasive and inexpensive, compared to other alternatives, such as fillings or veneers.
- The resin treatment procedure takes less time than other cosmetic options, such as veneers.
- The resin infiltration treatment results in a more natural and smooth enamel whitening, compared to bleaching or microabrasion treatments.
- The result of the treatment lasts significantly longer than other whitening treatment options (usually 2+ years).
- Can be completed in one visit with no shots or drilling (takes approximately 1 hour to complete).
*While the ICON Resin Infiltration treament has shown to consistently provide significant fading of white spot lesions, it does not guarantee that they will disappear completely.
Contact Centra Dental
Be sure to contact Centra Dental's Houston Office at 713-352-1168 or their South Houston Office at 713-804-4658 to for more information about what dental services we can offer to you. Our knowledgable staff will take the time to explain all the options available. Remember, only a professional dentist can provide you with quality dental services.
Most of our dental services are covered by Medicaid, CHIP and most dental insurance.
